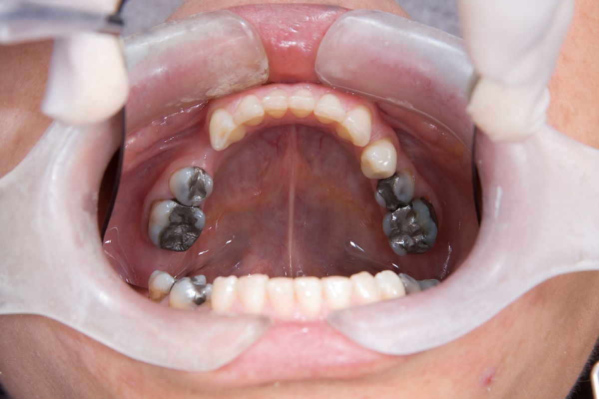
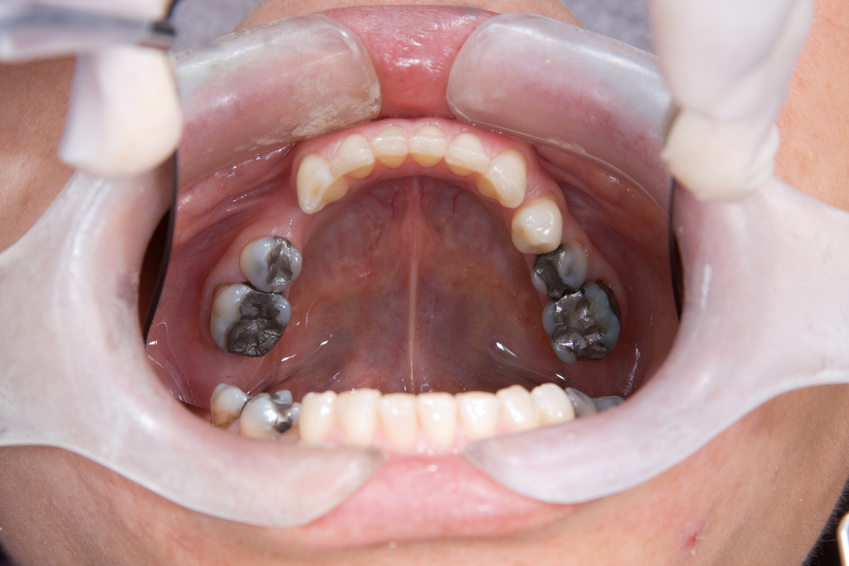
sind geeignet, kleinere Defekte an den Zähnen zu versorgen. Dabei können Sie wählen, welche Qualität Sie wünschen und wie anspruchsvoll die Füllung gestaltet sein soll. Eine Füllung ist immer eine plastische, also verformbare Masse, die nach Einbringen in den Zahn aushärtet.
Ein Inlay hingegen ist ein ausserhalb des Mundes des Patienten fertig erstelltes Werkstück. Es muss nur noch im Zahn besfestigt werden. Inlays sind sehr hochwertig. Die Vorbereitung des Zahnes für die Aufnahme des Inlays ist ausgesprochen anspruchsvoll!
